Skip to main content
Menu
Copeland Cosmetic Surgery
Home
Our Practice
Meet Dr. Jeffrey Copeland
Meet Dr. Brian Mailey
Meet Our Staff
Financing
TouchMD
®
Online Ratings & Reviews
Patient Testimonials
Patient Resources
Blog
Patient Safety
Ask a Question
Specials
Black Friday RSVP Page
Surgical Procedures
Breast Procedures
Breast Augmentation
Breast Lift
Breast Reconstruction
Breast Reduction
Breast Implant Revision
Breast Implant Removal (Explant)
Body Procedures
Abdominoplasty (Tummy Tuck)
Brachioplasty (Arm Lift)
Labiaplasty (Vaginal Rejuvenation)
Mommy Makeover
Post-Bariatric Body Contouring (Post-Weight Loss)
Liposuction
Thigh Lift
Facial Procedures
Blepharoplasty (Eyelid Surgery)
Endoscopic Brow Lift
Facelift (Short Scar)
Neck Lift
Facial Liposuction
Otoplasty (Ear Pinning)
Rhinoplasty (Nose Surgery)
Migraine Surgery
Hand and Wrist Surgery
Carpal Tunnel Treatment
Wrist Pain Treatment
Fat Grafting
Male Procedures
Non-Surgical Procedures
CoolSculpting
®
Fractional CO2 Laser Skin Resurfacing
Sculptra
®
(Non-Surgical Body Contouring)
Spider Vein Injection (Sclerotherapy)
BOTOX
®
Cosmetic
Injectable Dermal Fillers
Lutronic Genius™ Radiofrequency (RF) Microneedling
Plasma Pen™ Fibroblasting Treatments
Gallery
Contact
Click to Call
636-397-2001
Welcome to the team Dr. Mailey!
With 20 years of surgical expertise he brings an experienced commitment to delivering high-quality patient-centered care.
Learn More About Dr. Mailey
See Yourself in a New Light
Excellence in Cosmetic Surgery
Back to Gallery
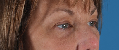
Blepharoplasty
Prev
Next
Patient 7
Before
After
Before
After
Before
After
Specials
x
Please ensure Javascript is enabled for purposes of
website accessibility